What is Teeth Scaling and Why It Is Important for Your Oral Health
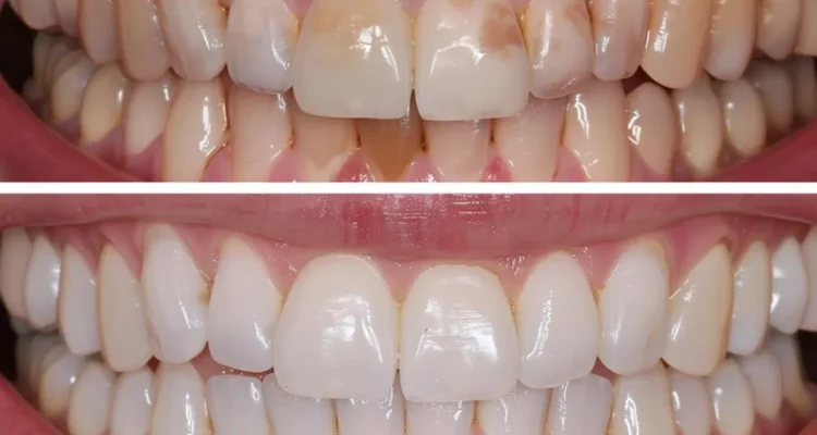
Teeth scaling is a professional dental cleaning procedure that removes plaque and tartar buildup from the teeth and below the gumline to prevent gum disease and maintain overall oral hygiene. According to dental health experts, routine teeth scaling and polishing can reduce the risk of periodontitis by 40-50%, making it vital for maintaining a bright […]









